Dental Implant Bangalore

Book Appointment

Book Appointment

perfect smileDental Implants in Bangalore

Dental Implant over Traditional Dentures

Dental implants have come to define modern dentistry in the last few decades. Dental implants are cemented to the jawbone and an abutment is used as a support for the dental crown that is placed over it. There are a single piece, two-piece and three-piece abutments available for implants. Titanium fuses naturally with the jawbone and that makes it a perfect fit as an implant. There are several dental implant techniques available to opt from, for a patient. The freedom to opt also depends on the condition of the jawbone and the gum. 

Perfect Smile: A dental clinic for all and One stop shop for all kind of Dental Implant Solutions.

Perfect smile super speciality dental and implant centre

 is the brainchild of Dr.P.S.Lakshmi, conceived and established after her return from the U.S. in the year 2002. As the name suggests the team perfect smile under the tutelage of Dr.P.S.Lakshmi has imbibed the latest changes that have taken place in the treatment with dental prosthetics and dental implants. Perfect Smile has the state-of-the-art infrastructure with in-house latest X-ray diagnostic facilities and can carry out the most severely compromised and advanced bone loss cases with ease. With vast experience of over 2 decades, they can do any type of complex post-implant prosthetics.

X-Ray Image

Dental Implants Bangalore

Perfect smile dental implant center has offices in Bangalore and Goa. The aim of Perfect Smile is to provide quality service at an affordable cost.

 

Patient Testimonal

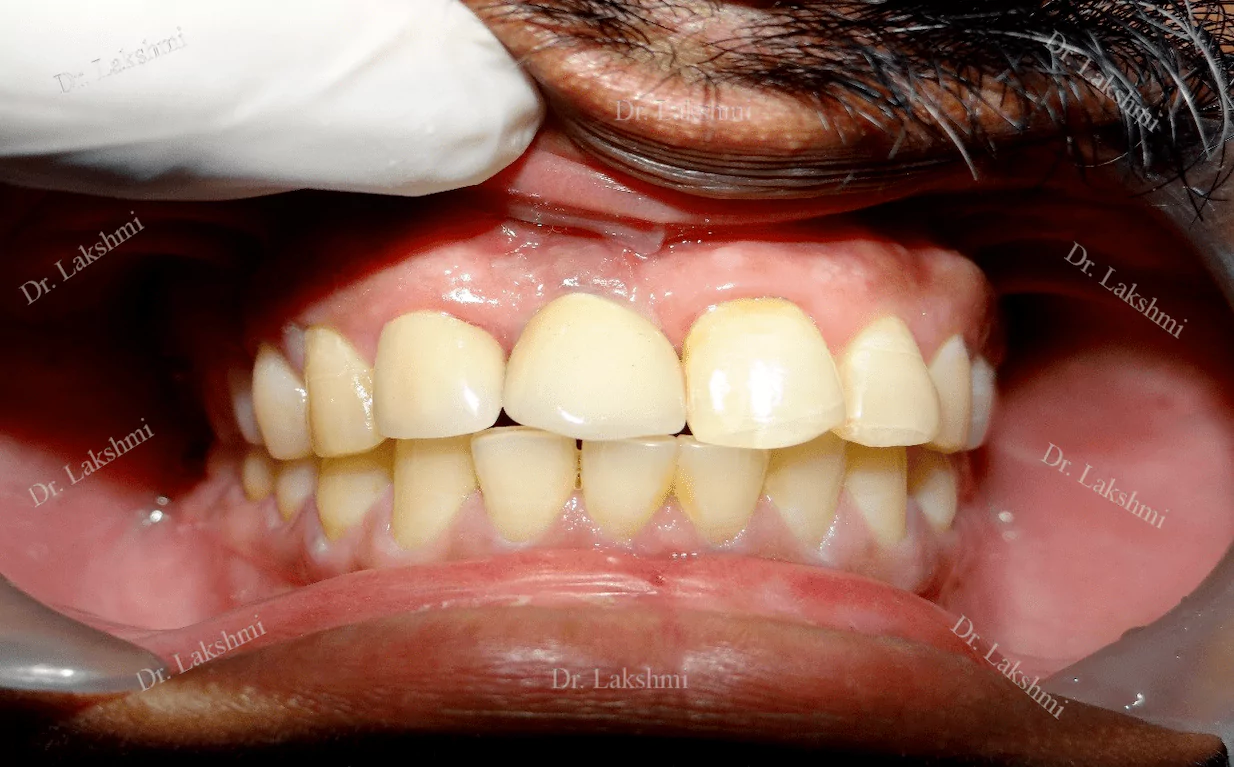
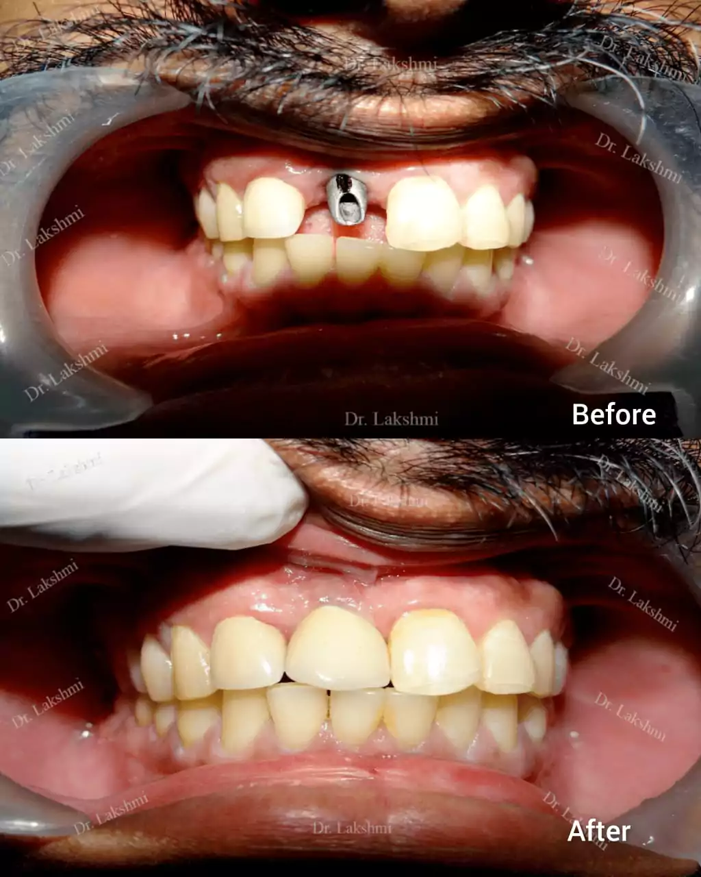
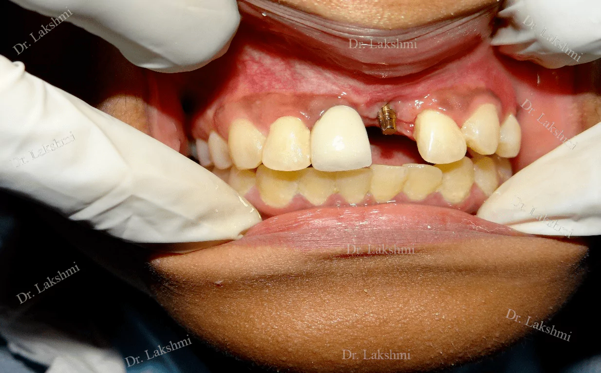
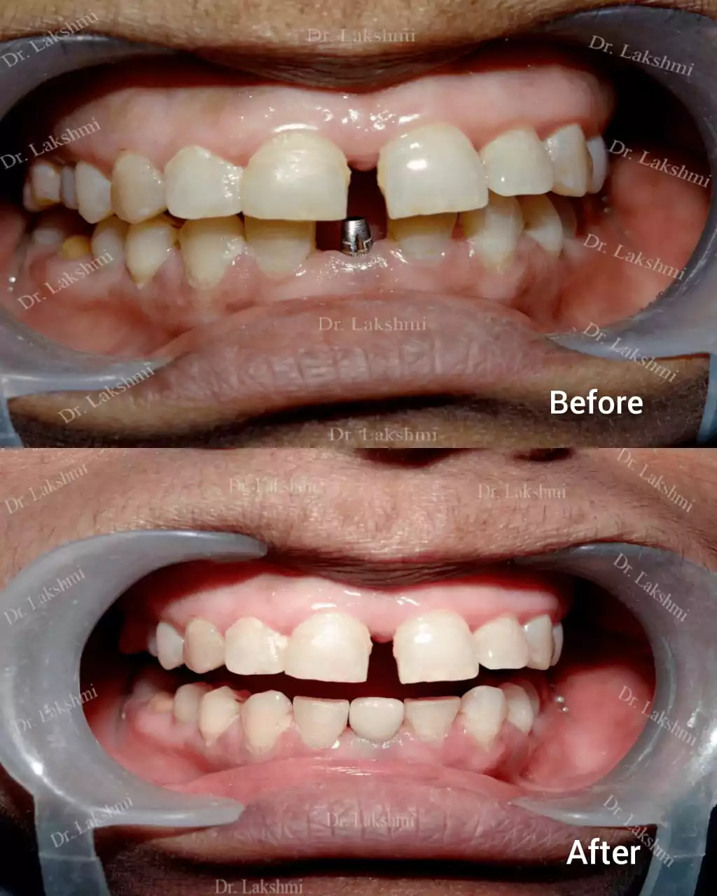
Requires the placement of a single dental implant (either 2 stage or 1 stage) in the region of the missing tooth, followed by a crown (artificial tooth) over

dental
dental

Multiple Tooth Replacement : Entirely depends on number of missing teeth.Either same number of Implants or fewer number of Implants than missing teeth can be placed. For example patient with 4 missing teeth ,we can place 2 Implants followed by a 4units bridge.

dental
dental

Replacement of All Teeth: Replacement of all teeth can be done either by the placement of implant supported dentures or by the placement of multiple unit bridges placed over implants.

Treatment Duration: 2 stage dental implants: The replacement is completed in 2 stages which are spread over an interval of minimum 3 months. The first stage involves the placement of the implant and requires one to two sittings,Temporary Crowns will be given to the patient. The second stage involves the placement of the artificial tooth (Permanent crown).

1 stage dental implant: Requires just one stage for the placement of the implant and crown(Permanent Crown).

dental
dental
dental
dental
dental
dental
dental
dental
dental
dental
dental
dental
dental
dental
dental

Authored By Dr.P.S. Lakshmi

Ask doctor


Rapid Responses, Right Away!

Whatsapp Now

Testimonials

Get in contact

Gowrys Complex,3rd Floor, Above Dominos Pizza,Opp. Arekere Bus Stand, Bannerghatta Road, Bangalore-560 076

9880219738 | 9168625112

psperfectsmile@gmail.com

Opening Hours

Monday - Saturday Sunday
9 am - 1 pm, 4:30pm - 7:30 pm By Appointment

Get in contact

Shop no 248 ‘B’ SOUZA VADDO Near Radisson hotel (Candolim), Bardez, Candolim, Goa 403 515

91587 94112 | 91686 25112

psperfectsmile@gmail.com

Opening Hours

Monday - Saturday Sunday
9 am - 1 pm, 4:30pm - 7:30 pm By Appointment

Call Us