Invisible Braces
Most people want better looking teeth but they also
don’t want people to know that they have braces or deal with
the unattractiveness of having those things in your mouth for so
long. You can give the appearance that you don’t have braces
simply by asking for invisible braces. They are a little more
expensive but they’ll get the job done, and you won’t
look like a 13 year old.
provide a hygienic, convenient and clear solution to irregular and
crooked teeth with out having to wear brackets and wires.
For
More Details :
www.invisalign.com
Advantages:
It is an excellent tool for permanent hair reduction which saves time and money. Benefits include freedom from ingrown hair and rashes occurring during waxing or threading. Also great from hygiene point of view.
Invisble Aligners uses the original patient dentition and actual IPR combined with precision of movement to deliver the best results with better hygiene through clearer aligners.
Invsible aligners have been proven to be successful for the correction of a variety of malocclusions, to discuss your individual case please visit your Dentist
Cost of the appliance varies depending upon severity of malocclusion, duration of treatment and the treatment plan decided by the treating Dentist
Since each malocclusion is different and the response to the treatment varies from patient to patient, so predicting actual treatment plan is difficult. Your treating Dentist will be in a better position to answer such queries. Normally the treatment time is comparable to the time taken by conventional braces.
To get Invisible aligners you need to visit your nearest general dentist providing the treatment.
While wearing appliance, it applies continuous correcting force to align teeth, so it’s empirical that the appliance is worn full time, except when brushing, eating or drinking hot and cold beverages.
At the end of treatment retainers are given to maintain the position of teeth as achieved at the end of treatment. Duration to wear retainers, in order to maintain the teeth in corrected position, varies from patient to patient and is also dependent on the type of malocclusion thus can be better prescribed by the treating Dentist.
Faster turn around time
Be in command of the treatment plan.
Cost effective
Using Original patient dentition to make the aligners
During the whole manufacturing process They uses original patient
dentition from casting to treatments and aligner fabrication which
adds to the accuracy of the end product and ensures better
treatment outcome.
More precision at every step of the treatment
Invis Align enables you to increase your standard of care.
The entire process is designed to deliver customized aligner that
moves each tooth directly along the most efficient path to achieve
the desired goal. By optimizing each aligners output, you minimize
the number of aligners and intermediate changes required that
means shorter treatment times for patients, and increased capacity
for practice.
Actual diagnostic setup
Invis Align provides actual diagnostic setup images for
precise information regarding the desired goals.
Using original gum tissue of the patient
Invis Align uses original gum tissue to fabricate aligners,
thus providing lesser number of clinical modifications at the time
of insertion of aligners.
Faster turn around time
Testimonials
ANTERIOR OPENBITE

CLASS II DIVISION 1

CLASS II DIVISION 200 (DEEP BITE)

CLASS III MALOCCLUSION (UNDER BITE)
BUCCALLY PLACED CANINES
CONGENITALLY MISSING LATERAL
ANTERIOR CROSSBITE
POSTERIOR CROSSBITE
SEVERE CROWDING WITHOUT EXTRACTIONS
SEVERE CROWDING WITH EXTRACTIONS
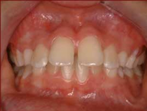
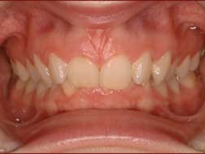
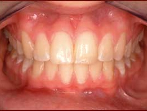
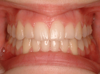
CROSSBITE, CROWDING & SPACING
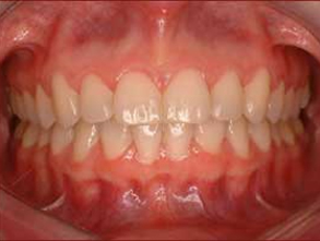
1.Case Status: Completed
2.
Malocclusion: Class I malocclusion with crowding, spacing and
crossbite
3. No. of Aligners: 24 upper and 12
lower
4.ClearPath Package: CPO-A
5.Treatment Objectives: Crossbite correction, leveling &
alignment of both arches.
Gowrys Complex,3rd Floor, Above Dominos Pizza,Opp. Arekere Bus Stand, Bannerghatta Road, Bangalore-560 076
9880219738 | 9168625112
psperfectsmile@gmail.com
| Monday - Saturday | Sunday |
|---|---|
| 9 am - 1 pm, 4:30pm - 7:30 pm | By Appointment |
Shop no 248 ‘B’ SOUZA VADDO Near Radisson hotel (Candolim), Bardez, Candolim, Goa 403 515
91587 94112 | 91686 25112
psperfectsmile@gmail.com
| Monday - Saturday | Sunday |
|---|---|
| 9 am - 1 pm, 4:30pm - 7:30 pm | By Appointment |