banner

Book Appointment

Book Appointment

Teeth in a Single Day Teeth in a single day

Using the latest in American Single stage Implant technology, we can replace one tooth, multiple teeth or all your teeth within 24 hours. Your new teeth would look just like your natural ones.

Painless and a very comfortable procedure

data
data
data
data
data
data
data
data
data
data
Picture-558

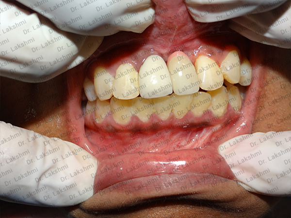
Before

Picture-558

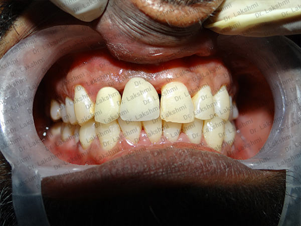
After

Picture-558

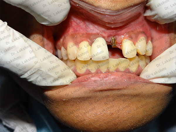
Before

Picture-558

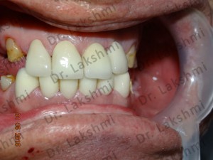
After

Authored By Dr.P.S. Lakshmi

Ask doctor


Rapid Responses, Right Away!

Whatsapp Now

Testimonials

Get in contact

Gowrys Complex,3rd Floor, Above Dominos Pizza,Opp. Arekere Bus Stand, Bannerghatta Road, Bangalore-560 076

9880219738 | 9168625112

psperfectsmile@gmail.com

Opening Hours

Monday - Saturday Sunday
9 am - 1 pm, 4:30pm - 7:30 pm By Appointment

Get in contact

Shop no 248 ‘B’ SOUZA VADDO Near Radisson hotel (Candolim), Bardez, Candolim, Goa 403 515

91587 94112 | 91686 25112

psperfectsmile@gmail.com

Opening Hours

Monday - Saturday Sunday
9 am - 1 pm, 4:30pm - 7:30 pm By Appointment

Call Us